Оценка безопасности внутрикоронарного введения раствора иопромида на этапе фармакохолодовой консервации донорского сердца ex vivo в эксперименте
Опубликован 29.12.2022
Ключевые слова
- донорское сердце,
- иопромид,
- коронароангиография,
- насосная функция сердца,
- расширенные донорские критерии
- сердечный выброс,
- трансплантация сердца,
- фармакохолодовая консервация сердца ...Показать
Как цитировать
Copyright (c) 2022 Жульков М.О., Сирота Д.А., Зыков И.С., Сабетов А.К., Агаева Х.А., Макаев А.Г., Осинцев Д.М., Календарев А.Э., Надеев А.П., Кливер В.Е., Таркова А.Р., Овчинникова М.А., Фомичев А.В., Кармадонова Н.А., Хомушку Д.В.

Это произведение доступно по лицензии Creative Commons «Attribution» («Атрибуция») 4.0 Всемирная.
Аннотация
Цель. Оценить влияние внутрикоронарного введения иопромида (Ultravist®, Bayer AG, Леверкузен, Германия) в период реализации фармакохолодовой консервации донорского сердца ex vivo на восстановление насосной функции сердца и метаболизм кардиомиоцитов в раннем посттрансплантационном периоде.
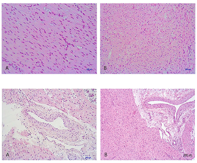
Методы. В качестве экспериментальной модели использовали телят черно-пестрой породы в возрасте 3 мес. В контрольной группе фармакохолодовую консервацию донорского сердца выполняли введением в корень аорты 2 л раствора кустодиола (Custodiol®, Dr. Franz Köhler Chemie GmbH, Бенсхайм, Германия). Затем сердца хранили в соответствующем растворе при температуре от 0 до 1 °C в течение 2 ч. Спустя 120 мин консервации в экспериментальной группе (n = 6) в корень аорты вводили раствор иопромида (Ultravist®) и кустодиола в соотношении 50:50 в течение 5 мин под давлением 70–80 мм рт. ст., после чего отмывали коронарное русло 1 л раствора кустодиола под давлением 40 мм рт. ст. и выполняли ортотопическую трансплантацию сердца реципиенту. В посттрансплантационном периоде исследовали параметры центральной гемодинамики, потребления миокардом кислорода, уровень маркеров ишемии миокарда (тропонина-I, креатинфосфокиназы-МВ, лактатдегидрогеназы).
Результаты. В ходе исследования выполнили 12 ортотопических трансплантаций сердца. Через 120 мин после восстановления самостоятельной сердечной деятельности уровень сердечного выброса составил 5,11 [4,99; 5,41] и 5,77 [4,97; 6,62] л/мин (р = 0,0009) в контрольной и экспериментальной группах соответственно. Изменения концентрации лактатдегидрогеназы, тропонина-I и лактата в оттекающей из коронарного синуса крови были значительно более выраженными в раннем реперфузионном периоде, однако статистически значимого различия между группами не выявили (р > 0,05). Потребление миокардом кислорода было значительно снижено на этапе реперфузии, однако к 60-й минуте реперфузии возвращалось к исходным значениям без достоверной разницы между группами (р > 0,05).
Заключение. В ходе эксперимента доказана безопасность внутрикоронарного введения иопромида на этапе фармакохолодовой консервации донорского сердца ex vivo. Внутрикоронарное введение раствора иопромида не влияет на восстановление насосной функции сердца и метаболизма кардиомиоцитов в раннем посттрансплантационном периоде.
Поступила в редакцию 6 мая 2022 г. Исправлена 14 июня 2022 г. Принята к печати 11 июля 2022 г.
Финансирование
Исследование не имело спонсорской поддержки.
Конфликт интересов
Авторы заявляют об отсутствии конфликта интересов.
Вклад авторов
Концепция и дизайн работы: М.О. Жульков, Д.А. Сирота, И.С. Зыков
Сбор и анализ данных: М.О. Жульков, И.С. Зыков, А.К. Сабетов, Х.А. Агаева, А.Г. Макаев, Д.М. Осинцев, А.Э. Календарев, А.П. Надеев, В.Е. Кливер, А.Р. Таркова, М.А. Овчинникова, Н.А. Кармадонова, Д.В. Хомушку
Статистическая обработка данных: М.О. Жульков, А.Г. Макаев
Написание статьи: М.О. Жульков
Исправление статьи: М.О. Жульков, Д.А. Сирота, И.С. Зыков, А.В. Фомичев
Утверждение окончательного варианта статьи: все авторы
Библиографические ссылки
- Nagji A.S., Hranjec T., Swenson B.R., Kern J.A., Bergin J.D., Jones D.R., Kron I.L., Lau C.L., Ailawadi G. Donor age is associated with chronic allograft vasculopathy after adult heart transplantation: implications for donor allocation. Ann Thorac Surg. 2010;90(1):168-175. PMID: 20609769; PMCID: PMC3033784. https://doi.org/10.1016/j.athoracsur.2010.03.043
- Kimura Y., Seguchi O., Iwasaki K., Toda K., Kikuchi N., Matsuda S., Kumai Y., Kuroda K., Wada K., Matsumoto Y., Fukushima S., Yanase M., Fujita T., Kobayashi J., Fukushima N. Impact of coronary artery calcification in the donor heart on transmitted coronary artery disease in heart transplant recipients. Circ J. 2018;82(12):3021-3028. PMID: 30270311. https://doi.org/10.1253/circj.CJ-18-0107
- Khush K.K., Potena L., Cherikh W.S., Chambers D.C., Harhay M.O., Hayes D., Hsich E., Sadavarte A., Singh T.P., Zuckermann A., Stehlik J., International Society for Heart and Lung Transplantation. The International Thoracic Organ Transplant Registry of the International Society for Heart and Lung Transplantation: 37th adult heart transplantation report-2020; focus on deceased donor characteristics. J Heart Lung Transplant. 2020;39(10):1003-1015. PMID: 32811772; PMCID: PMC7737223. https://doi.org/10.1016/j.healun.2020.07.010
- Grauhan O., Siniawski H., Dandel M., Lehmkuhl H., Knosalla C., Pasic M., Weng Y.-G., Hetzer R. Coronary atherosclerosis of the donor heart — impact on early graft failure. Eur J Cardiothorac Surg. 2007;32(4):634-638. PMID: 17702594. https://doi.org/10.1016/j.ejcts.2007.07.007
- Karthikeyan G., Math R.S., Mathew N., Shankar B., Kalaivani M., Singh S., Bahl V.K., Hirsh J., Eikelboom J.W. Accelerated infusion of streptokinase for the treatment of left-sided prosthetic valve thrombosis: A randomized controlled trial. Circulation. 2009;120(12):1108-1114. PMID: 19738134. https://doi.org/10.1161/CIRCULATIONAHA.109.876706
- Roig E., Almenar L., Crespo-Leiro M., Segovia J., Mirabet S., Delgado J., Pérez-Villa F., Lambert J.L., Blasco M.T., Muñiz J. Heart transplantation using allografts from older donors: Multicenter study results. J Heart Lung Transplant. 2015;34(6):790-796. PMID: 25499140. https://doi.org/10.1016/j.healun.2014.10.006
- Wever-Pinzon O., Edwards L.B., Taylor D.O., Kfoury A.G., Drakos S.G., Selzman C.H., Fang J.C., Lund L.H., Stehlik J. Association of recipient age and causes of heart transplant mortality: Implications for personalization of post-transplant management — An analysis of the International Society for Heart and Lung Transplantation Registry. J Heart Lung Transplant. 2017;36(4):407-417. PMID: 27686602. https://doi.org/10.1016/j.healun.2016.08.008
- Grauhan O., Patzurek J., Knosalla C., Musci M., Ewert R., Jonas S., Düsterhoeft V., Hummel M., Pasic M., Weng Y., Hetzer R. Coronary angiography in heart donors: A necessity or a luxury? Transplant Proc. 2001;33(7-8):3805. PMID: 11750621. https://doi.org/10.1016/s0041-1345(01)02611-2
- Sunjaya A.F., Sunjaya A.P. Combating donor organ shortage: Organ care system prolonging organ storage time and improving the outcome of heart transplantations. Cardiovasc Ther. 2019;2019:9482797. PMID: 31772620; PMCID: PMC6739795. https://doi.org/10.1155/2019/9482797
- Kotloff R.M., Blosser S., Fulda G.J., Malinoski D., Ahya V.N., Angel L., Byrnes M.C., DeVita M.A., Grissom T.E., Halpern S.D., Nakagawa T.A., Stock P.G., Sudan D.L., Wood K.E., Anillo S.J., Bleck T.P., Eidbo E.E., Fowler R.A., Glazier A.K., Gries C., Hasz R., Herr D., Khan A., Landsberg D., Lebovitz D.J., Levine D.J., Mathur M., Naik P., Niemann C.U., Nunley D.R., O'Connor K.J., Pelletier S.J., Rahman O., Ranjan D., Salim A., Sawyer R.G., Shafer T., Sonneti D., Spiro P., Valapour M., Vikraman-Sushama D., Whelan T.P.M. Management of the Potential Organ Donor in the ICU: Society of Critical Care Medicine/American College of Chest Physicians/Association of Organ Procurement Organizations Consensus Statement. Crit Care Med. 2015;43(6):1291-1325. PMID: 25978154. https://doi.org/10.1097/CCM.0000000000000958
- Ghodsizad A., Bordel V., Ungerer M., Karck M., Bekeredjian R., Ruhparwar A. Ex vivo coronary angiography of a donor heart in the organ care system. Heart Surg Forum. 2012;15(3):E161-E163. PMID: 22698606. https://doi.org/10.1532/HSF98.20111146
- Жульков М.О., Фомичев А.В., Альсов С.А., Кливер Е.Н., Чернявский А.М. Современное состояние проблемы и результаты ex vivo перфузии донорских сердец. Вестник трансплантологии и искусственных органов. 2019;21(4):143-146. https://doi.org/10.15825/1995-1191-2019-4-143-146 Zhulkov M.O., Fomichev A.V., Alsov S.A., Cleaver E.N., Chernyavsky A.M. Current state of the problem and results of ex vivo perfusion of donor hearts. Russian Journal of Transplantology and Artificial Organs. 2019;21(4):143-146. (In Russ.) https://doi.org/10.15825/1995-1191-2019-4-143-146
- Robicsek F., Masters T.N., Thomley A.M., Rice H.E., Morales-Reyna J. Bench coronary cineangiography. A possible way to increase the number of hearts available for transplantation. J Thorac Cardiovasc Surg. 1992;103(3):490-495. PMID: 1545547.
- Lee C.C., Aruny J.E., Laurence R.G., Appleyard R.F., Couper G.S., Cohn L.H. Bench coronary angiography: a potentially useful method to assess coronary artery disease in the older donor heart without catheterization laboratory angiography. J Heart Lung Transplant. 1992;11(4 Pt 1):693-697. PMID: 1498133.
- Жульков М.О., Зыков И.С., Головин А.М., Головина Е.О., Гренадеров А.С., Чернявский А.М., Сирота Д.А., Сергеевичев Д.С. Результаты экспериментальных исследований аппарата вспомогательного кровообращения нового типа на основе насоса дискового типа. Клиническая и экспериментальная хирургия. Журнал имени академика Б.В. Петровского. 2021;9(2):90-95. https://doi.org/10.33029/2308-1198-2021-9-2-90-95 Zhulkov M.O., Zykov I.S., Golovin A.M., Golovina E.O., Grenadyorov A.S., Chernyavskiy A.M., Sirota D.A., Sergeevichev D.S. The results of experimental studies of a new type of auxiliary circulation apparatus base on a disk type pump. Clinical and Experimental Surgery. Petrovsky Journal. 2021;9(2):90-95. (In Russ.) https://doi.org/10.33029/2308-1198-2021-9-2-90-95
- Chih S., Wiefels C.C., Beanlands R.S.B. PET assessment of cardiac allograft vasculopathy. Semin Nucl Med. 2021;51(4):349-356. PMID: 33483000. https://doi.org/10.1053/j.semnuclmed.2020.12.010
- Watanabe T., Seguchi O., Yanase M., Fujita T., Murata Y., Sato T., Sunami H., Nakajima S., Kataoka Y., Nishimura K., Hisamatsu E., Kuroda K., Okada N., Hori Y., Wada K., Hata H., Ishibashi-Ueda H., Miyamoto Y., Fukushima N., Kobayashi J., Nakatani T. Donor-transmitted atherosclerosis associated with worsening cardiac allograft vasculopathy after heart transplantation: Serial volumetric intravascular ultrasound analysis. Transplantation. 2017;101(6):1310-1319. PMID: 27472091; PMCID: PMC5441888. https://doi.org/10.1097/TP.0000000000001322
- Schweiger M., Klüber J., Bosch A., von Levinski D., Prenner G., Stiegler P., Sereinigg M., Tscheliessnigg K.-H., Iberer F., Wasler A. Low incidence of coronary angiography in the evaluation process of the potential heart donor. Transplant Proc. 2014;46(10):3339-3342. PMID: 25498048. https://doi.org/10.1016/j.transproceed.2014.06.069
- Smits J.M., De Pauw M., de Vries E., Rahmel A., Meiser B., Laufer G., Zuckermann A. Donor scoring system for heart transplantation and the impact on patient survival. J Heart Lung Transplant. 2012;31(4):387-397. PMID: 22177692. https://doi.org/10.1016/j.healun.2011.11.005
- Drinkwater D.C., Laks H., Blitz A., Kobashigawa J., Sabad A., Moriguchi J., Hamilton M. Outcomes of patients undergoing transplantation with older donor hearts. J Heart Lung Transplant. 1996;15(7):684-691. PMID: 8820784.
- Hoercher K., Young J.B., Stewart R.W., McCarthy P.M., Smedira N., Kendall K. The use of older heart donors may not impact mortality or morbidity: a single center experience. J Heart Lung Transpl. 1997;16(83):179-180.
- Schuler S., Matschke K., Loebe M., Hummel M., Fleck E., Hetzer R., Miller L. Coronary artery disease in patients with hearts from older donors: morphologic features and therapeutic implications. J Heart Lung Transpl. 1993;12(1):100-109. PMID: 8443187.
- Castellani C., Angelini A., de Boer O.J., van der Loos C.M., Fedrigo M., Frigo A.C., Meijer-Jorna L.B., Li X., Ploegmakers H.J.P., Tona F., Feltrin G., Gerosa G., Valente M., Thiene G., van der Wal A.C. Intraplaque hemorrhage in cardiac allograft vasculopathy. Am J Transplant. 2014;14(1):184-192. PMID: 24354875. https://doi.org/10.1111/ajt.12517
- Фомичев А.В., Хван Д.C., Агаева Х.А., Жульков М.О., Доронин Д.В., Чернявский А.М. Опыт использования донорского сердца с продленной холодовой ишемией. Российский кардиологический журнал. 2020;25(8):4011. https://doi.org/10.15829/1560-4071-2020-4011 Fomichev A.V., Khvan D.S., Agayeva H.A., Zhulkov M.O., Doronin D.V., Chernyavsky A.M. Experience of heart transplantation with an extended cold ischemic time of donor heart. Russian Journal of Cardiology. 2020;25(8):4011. https://doi.org/10.15829/1560-4071-2020-4011
- Musci M., Pasic M., Grauhan O., Butter C., Potapov E., Weng Y., Meyer R., Hetzer R. Orthotopic heart transplantation with concurrent coronary artery bypass grafting or previous stent implantation. Z Kardiol. 2004;93(12):971-974. PMID: 15599573. https://doi.org/10.1007/s00392-004-0158-1
- Pozniak M.A., Balison D.J., Lee Jr F.T., Tambeaux R.H., Uehling D.T., Moon T.D. CT angiography of potential renal transplant donors. Radiographics. 1998;18(3):565-587. PMID: 9599383. https://doi.org/10.1148/radiographics.18.3.9599383
- Grauhan O., Wesslau C., Hetzer R. Routine screening of donor hearts by coronary angiography is feasible. Transplant Proc. 2006;38(3):666-667. PMID: 16647438. https://doi.org/10.1016/j.transproceed.2006.01.063
- Franke R.-P., Fuhrmann R., Hiebl B., Jung F. Influence of various radiographic contrast media on the buckling of endothelial cells. Microvasc Res. 2008;76(2):110-113. PMID: 18619981. https://doi.org/10.1016/j.mvr.2008.05.002
- Franke R.-P., Fuhrmann R., Hiebl B., Jung F. Influence of radiographic contrast media (Iodixanol und Iomeprol) on the morphology of human arterial and venous endothelial cells on extracellular matrix in vitro. Clin Hemorheol Microcirc. 2011;48(1-3):41-56. PMID: 21876233. https://doi.org/10.3233/CH-2011-1404
