Стентирование перешейка аорты в качестве метода коррекции коарктационного синдрома, вызванного окклюдером открытого артериального протока: клинический случай
Опубликован 29.12.2022
Ключевые слова
- аорта,
- клинический случай,
- открытый артериальный проток,
- стентирование перешейка аорты
Как цитировать
Copyright (c) 2022 Тарасов Р.С., Колесников А.Ю., Верещагин И.Е.

Это произведение доступно по лицензии Creative Commons «Attribution» («Атрибуция») 4.0 Всемирная.
Аннотация
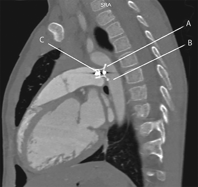
Представлен клинический случай стентирования перешейка аорты с целью устранения редкого осложнения — стеноза, вызванного окклюдером, который был имплантирован в открытый артериальный проток ребенку в возрасте 7 мес. Через 7 лет пациент повторно поступил в кардиологический центр с клиникой коарктации аорты, по данным эхокардиографии выявили пиковый градиент давления в зоне имплантации окклюдера 40 мм рт. ст., градиент давления между верхними и нижними конечностями 25–30 мм рт. ст. В возрасте 8 лет компрометацию кровотока в аорте полностью устранили стентированием перешейка аорты с армированием имплантированного окклюдера открытого артериального протока. Имплантировали стент Andrastent XL (Andramed GmbH, Ройтлинген, Германия), который можно раскрыть до 14 мм. При контрольной тензиометрии градиент давления на перешейке аорты полностью устранен. Через 7 мес. эффективность вмешательства подтвердили данными эхокардиографии. Тактика стентирования аорты устройством с потенциалом расширения по мере роста ребенка является обоснованной в силу эффективности, малоинвазивности и радикальности.
Поступила в редакцию 5 марта 2022 г. Исправлена 10 июля 2022 г. Принята к печати 11 июля 2022 г.
Информированное согласие
Получено информированное согласие пациента на публикацию и использование медицинских данных в научных целях.
Финансирование
Исследование не имело спонсорской поддержки.
Конфликт интересов
Авторы заявляют об отсутствии конфликта интересов.
Библиографические ссылки
- Рентгенэндоваскулярная хирургия: национальное руководство. В 4 т. / Под ред. Б.Г. Алекяна. М.: Литтерра, 2017. Т. 1: Врожденные пороки сердца. 2017. 573 с. Alekyan B.G., editor. Endovascular surgery: national guidelines. In 4 vol. Moscow: Litterra Publ.; 2017. Vol. 1: Congenital heart disease. 2017. 573 p. (In Russ.)
- Haponiuk I., Paczkowski K., Chojnicki M., Jaworski R. Iatrogenic obstruction of the aorta — a sequence of delayed, fatal complications after 'off-label' interventional persistent ductus arteriosus closure. Wideochir Inne Tech Maloinwazyjne. 2016;11(1):44-48. PMID: 28133500; PMCID: PMC4840184. http://dx.doi.org/10.5114/wiitm.2016.57620
- Backes C.H., Rivera B.K., Bridge J.A., Armstrong A.K., Boe B.A., Berman D.P., Fick T., Holzer R.J., Hijazi Z.M., Abadir S., Justino H., Bergersen L., Smith C.V., Kirpalani H. Percutaneous Patent Ductus Arteriosus (PDA) closure during infancy: a meta-analysis. Pediatrics. 2017;139(2):e20162927. PMID: 28087683. http://dx.doi.org/10.1542/peds.2016-2927
- Sathanandam S., Gutfinger D., Morray B., Berman D., Gillespie M., Forbes T., Johnson J.N., Garg R., Malekzadeh-Milani S., Fraisse A., Baspinar O., Zahn E.M. Consensus Guidelines for the Prevention and Management of Periprocedural Complications of Transcatheter Patent Ductus Arteriosus Closure with the Amplatzer Piccolo Occluder in Extremely Low Birth Weight Infants. Pediatr Cardiol. 2021;42(6):1258-1274. PMID: 34195869; PMCID: PMC8292293. http://dx.doi.org/10.1007/s00246-021-02665-3
- Alkhouli M., Sievert H., Rihal C.S. Device embolization in structural heart interventions: incidence, outcomes, and retrieval techniques. JACC Cardiovasc Interv. 2019;12(2):113-126. PMID: 30678792. http://dx.doi.org/10.1016/j.jcin.2018.08.033
- Chien Y.-H., Wang H.-H., Lin M.-T., Lin H.-C., Lu C.-W., Chiu S.-N., Wu M.-H., Wang J.-K., Chen C.-A. Device deformation and left pulmonary artery obstruction after transcatheter patent ductus arteriosus closure in preterm infants. Int J Cardiol. 2020;312:50-55. PMID: 32143922. http://dx.doi.org/10.1016/j.ijcard.2020.02.065
- Dimas V.V., Leonard S.R., Guleserian K.J., Forbess J.M., Zellers T.M. Stent implantation for coarctation of the aorta in a premature infant through carotid cutdown as a bridge to surgical correction. J Thorac Cardiovasc Surg. 2010;139(4):1070-1071. PMID: 19660357. http://dx.doi.org/10.1016/j.jtcvs.2008.10.055
- Keelan E.T., Nunez B.D., Berger P.B., Holmes D.R. Jr, Garratt K.N. Management of balloon rupture during rigid stent deployment. Cathet Cardiovasc Diagn. 1995;35(3):211-215. PMID: 7553825. ttps://dx.doi.org/10.1002/ccd.1810350310
