Клинический случай выявления газа в воротной вене после аортобедренного бифуркационного шунтирования
Опубликован 29.12.2022
Ключевые слова
- абдоминальный компартмент-синдром,
- газ в воротной вене,
- клинический случай,
- мезентериальная ишемия
Как цитировать
Copyright (c) 2022 Зозуля М.В., Ленькин А.И., Лебединский К.М.

Это произведение доступно по лицензии Creative Commons «Attribution» («Атрибуция») 4.0 Всемирная.
Аннотация
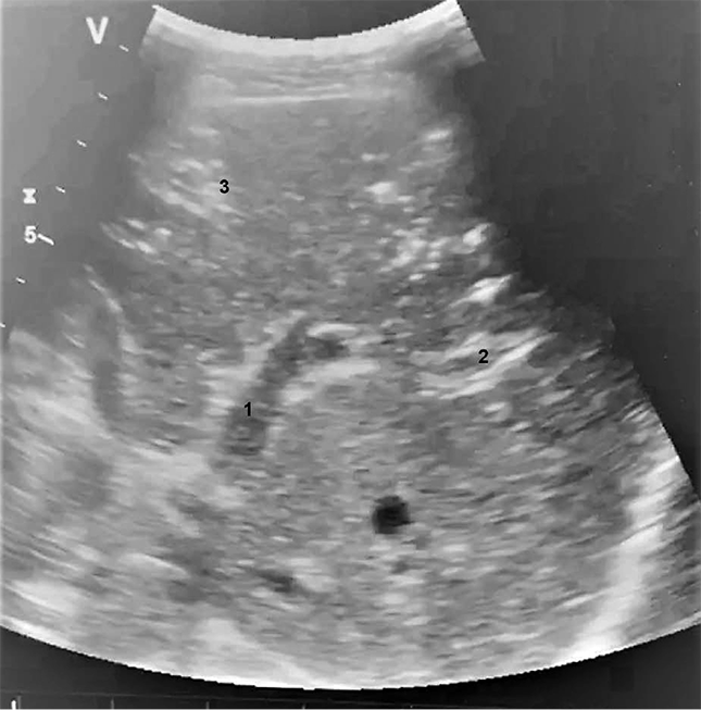
Представлен клинический случай раннего хирургического лечения абдоминального компартмент-синдрома, возникшего после аортобедренного бифуркационного шунтирования. Мужчина 73 лет поступил в СЗГМУ им. И.И. Мечникова с критической ишемией нижних конечностей. В плановом порядке выполнили аортобедренное бифуркационное шунтирование синтетическим протезом через лапаротомный доступ. Послеоперационный период осложнился динамической кишечной непроходимостью. Прогрессировало ухудшение состояния (гиповолемический и септический шок, дыхательная недостаточность на фоне тяжелой пневмонии). Изначальная хирургическая тактика состояла в консервативном ведении. После выявления с помощью прикроватного ультразвукового исследования признаков интестинальной ишемии (пневматоз стенки кишечника, газ в воротной вене) тактику изменили. В тот же день провели декомпрессионную релапаротомию, установили интестинальный зонд. Послеоперационный период протекал с положительной динамикой: ранняя экстубация с удовлетворительными показателями газообмена, минимальные дозировки вазопрессорной поддержки, появление стула на 2-й день после операции.
Газ в воротной вене в 70 % случаев свидетельствует о некрозе стенки кишечника. Выявление этого ультразвукового феномена у пациентов после операций на брюшном отделе аорты может указывать на ишемию толстой кишки, поскольку нарушения мезентериального кровообращения в первую очередь развиваются в бассейне нижней брыжеечной артерии. Состояние требует экстренного хирургического вмешательства, но его дифференциальная диагностика с послеоперационным парезом кишечника не всегда возможна, особенно на ранних стадиях. В нашем случае раннее выявление газа в воротной вене и экстренное вмешательство по этому поводу предотвратили необратимое ишемическое повреждение кишечника. Прикроватный ультразвуковой мониторинг позволяет предположить данное состояние и определить показания к раннему хирургическому вмешательству, что может улучшить исход.
Поступила в редакцию 19 апреля 2022 г. Исправлена 29 мая 2022 г. Принята к печати 1 июня 2022 г.
Информированное согласие
Получено информированное согласие пациента на публикацию и использование медицинских данных в научных целях.
Финансирование
Исследование не имело спонсорской поддержки.
Конфликт интересов
Авторы заявляют об отсутствии конфликта интересов.
Библиографические ссылки
- Дюсупов А.А., Рахметов Н.Р., Сагандыков И.Н., Карпенко А.А., Дюсупов А.З. Осложнения и их профилактика в раннем и позднем послеоперационном периоде у больных с инфраренальной аневризмой аорты. Патология кровообращения и кардиохирургия. 2009;(4):47-50. Dyusupov A.A. Rakhmetov N.R., Sagandykov I.N., Karpenko A.A., Diusupov A.Z. Complications and their prevention in early and late postoperative periods in patients with infrarenal aortic aneurysm. Patologiya krovoobrashcheniya i kardiokhirurgiya = Circulation Pathology and Cardiac Surgery. 2009;(4):47-50. (In Russ.)
- Dardik A., Burleyson G.P., Bowman H., Gordon T.A., Williams G.M., Webb T.H., Perler B.A. Surgical repair of ruptured abdominal aortic aneurysms in the state of Maryland: factors influencing outcome among 527 recent cases. J Vasc Surg. 1998;28(3):413-420. PMID: 9737450. https://doi.org/10.1016/s0741-5214(98)70126-0
- Venara A., Neunlist M., Slim K., Barbieux J., Colas P.A., Hamy A., Meurette G. Postoperative ileus: Pathophysiology, incidence, and prevention. J Visc Surg. 2016;153(6):439-446. PMID: 27666979. https://doi.org/10.1016/j.jviscsurg.2016.08.010
- Connor-Schuler R., Binz S., Clark C. Portal venous gas on point-of-care ultrasound in a case of cecal ischemia. J Emerg Med. 2020;58(3):e117-e120. PMID: 31843320. https://doi.org/10.1016/j.jemermed.2019.10.033
- Pan Y. Hepatic portal vein gas associated with intestinal ischemia and acute gastric dilatation: a case report. Ann Palliat Med. 2021;10(6):7095-7098. PMID: 33691431. https://doi.org/10.21037/apm-20-1764
- Meister A.L., Doheny K.K., Travagli R.A. Necrotizing enterocolitis: It's not all in the gut. Exp Biol Med (Maywood). 2020;245(2):85-95. PMID: 31810384; PMCID: PMC7016421. https://doi.org/10.1177/1535370219891971
- Chirica M., Scatton O. Air in the portal venous system: radiologic differential diagnosis and etiology-specific treatment. J Chir (Paris). 2006;143(3):141-147. PMID: 16888598. https://doi.org/10.1016/s0021-7697(06)73641-9
- Dovzhanskiy D.I., Bischoff M.S., Wilichowski C.D., Rengier F., Klempka A., Böckler D. Outcome analysis and risk factors for postoperative colonic ischaemia after aortic surgery. Langenbecks Arch Surg. 2020;405(7):1031-1038. PMID: 32827052; PMCID: PMC7541358. https://doi.org/10.1007/s00423-020-01964-2
- Rubenstein Ch., Bietz G., Davenport D.L., Winkler M., Endean E.D. Abdominal compartment syndrome associated with endovascular and open repair of ruptured abdominal aortic aneurysms. J Vasc Surg. 2015;61(3):648-654. PMID: 25499708. https://doi.org/10.1016/j.jvs.2014.10.011
- Акопян Р.В. Сравнительная характеристика влияния эпидуральной и опиоидной анальгезии на частоту возникновения паралитического илеуса у послеоперационных пациентов отделения интенсивной терапии. Анестезиология и реаниматология. 2013;6:25-28. Hakobyan R.V. Comparison of epidural and opioid analgesia effects on frequency of bowel peristalsis in patients of surgical intensive care unit. Anesteziologiya i reanimatologiya = Russian Journal of Anesthesiology and Reanimatology. 2013;6:25-28. (In Russ.)
- Kronberg U., Kiran R.P., Soliman M.S.M., Hammel J.P., Galway U., Coffey J.C., Fazio V.W. A characterization of factors determining postoperative ileus after laparoscopic colectomy enables the generation of a novel predictive score. Ann Surg. 2011;253:78-81. PMID: 21233608. https://doi.org/10.1097/SLA.0b013e3181fcb83e
- De Waele J.J., De Laet I. Intra-abdominal hypertension and the effect on renal function. Acta Clin Belg. 2007;62(Suppl 2):371-374. PMID: 18284002. https://doi.org/10.1179/acb.2007.083
- Райбужис Е.Н., Фот Е.В., Гайдуков К.М., Киров М.Ю. Мониторинг внутрибрюшного давления и абдоминального перфузионного давления при срочных хирургических вмешательствах на органах брюшной полости. Анестезиология и реаниматология. 2014;(3):17-20. Rajbuzhis E.N., Fot E.V., Gaidukov K.M., Kirov M.Yu. Monitoring of intraabdominal pressure and abdominal perfusion pressure in urgent abdominal surgery. Anesteziologiya i reanimatologiya = Russian Journal of Anesthesiology and Reanimatology. 2014;(3):17-20. (In Russ.)
- Иванова А.В., Шукевич Д.Л., Радивилко А.С., Григорьев Е.В. Газ в портальной вене — редкий диагностический признак абдоминального компартмент-синдрома. Комплексные проблемы сердечно-сосудистых заболеваний. 2018;7(2):146-151. https://doi.org/10.17802/2306-1278-2018-7-2-146-151 Ivanova A.V., Shukevich D.L., Radivilko A.S., Grigoryev E.V. Portal venous gas — rare diagnostic sign of abdominal compartment-syndrome. Kompleksnyye problemy serdechno-sosudistykh zabolevaniy = Complex Issues of Cardiovascular Diseases. 2018;7(2):146-151. (In Russ.) https://doi.org/10.17802/2306-1278-2018-7-2-146-151
- Kim H.J., Kim H.-K. Idiopathic hepatic portal venous gas in a healthy young man. Int J Gen Med. 2020;13:687-692. PMID: 33061536; PMCID: PMC7519867. https://doi.org/10.2147/IJGM.S276438
