Клинический случай протезирования митрального клапана через 38 лет после имплантации шарового протеза в аортальную позицию
Опубликован 31.03.2022
Ключевые слова
- дефект аортального клапана,
- длительное наблюдение,
- имплантация протеза,
- повторная операция,
- протезирование шарового клапана
- протезирование митрального клапана ...Показать
Как цитировать
Copyright (c) 2022 Желтовский Ю.В., Батеха В.И., Пешков Е.В., Подкаменный В.А.

Это произведение доступно по лицензии Creative Commons «Attribution» («Атрибуция») 4.0 Всемирная.
Аннотация
Внедрение в клиническую практику шаровых протезов стало началом новой эпохи в лечении клапанной патологии сердца. При высоких долговечности и износостойкости такие протезы имели большие габариты и массу, повышенный градиент давления, риск тромбоза клапана и системных эмболий. С появлением более совершенных дисковых конструкций применение шаровых протезов завершилось.
В литературе отмечают рост повторных вмешательств после имплантации шаровых протезов в отдаленном периоде из-за порока другого клапана. Необходимость замены шарового протеза без его дисфункции на современные механический или биологический во время вмешательства на другом клапане обсуждается.
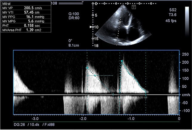
В сообщении представлено клиническое наблюдение повторной операции у пациента 55 лет с ревматическим стенозом митрального и функциональной недостаточностью трикуспидального клапана через 38 лет после имплантации шарового протеза в аортальную позицию. По данным эхокардиографии, пиковый трансмитральный градиент 16 мм рт. ст., средний — 5,5, площадь 1,3 см2, регургитация 3-й ст. На трикуспидальном клапане регургитация 3-й ст.
Удовлетворительные гемодинамические показатели работы шарового протеза (максимальная скорость кровотока 2,65 м/с, пиковый градиент 30 мм рт. ст., средний — 18, регургитации нет), отсутствие клапанозависимых осложнений позволили ограничиться протезированием митрального и пластикой трикуспидального клапанов без замены аортального протеза, что сократило продолжительность операции и снизило риск осложнений. Осмотр пациента через 2 года после операции, его активный образ жизни, удовлетворительные гемодинамические параметры при обследовании подтверждают правильность тактики. Результат доказывает возможность хирургического лечения митрального порока в отдаленные сроки после протезирования аортального клапана хорошо функционирующим шаровым протезом без его замены.
Поступила в редакцию 25 июля 2021 г. Исправлена 22 августа 2021 г. Принята к печати 23 августа 2021 г.
Финансирование
Исследование не имело спонсорской поддержки.
Конфликт интересов
Авторы заявляют об отсутствии конфликта интересов.
Библиографические ссылки
- Hufnagel C.A., Harvey W.P. The surgical correction of aortic regurgitation preliminary report. Bull Georgetown Univ Med Cent. 1953;6(3):60-61. PMID: 12997885.
- Harken D.E., Taylor W.J., Lifemine A.A., Lunzer S., Low H.B., Cohen M.L., Jacobey J.A. Aortic valve replacement with a caged ball valve. Am J Cardiol. 1962;9:292-299. PMID: 13904712. https://doi.org/10.1016/0002-9149(62)90047-4
- Вербовая Т.А., Гриценко В.В., Глянцев С.П., Давыденко В.В., Белевитин А.Б., Свистов А.С., Евдокимов С.В., Никифоров В.С. Отечественные механические протезы клапанов сердца (прошлое и настоящее создания и клинического применения). СПб.: Наука, 2011. [Verbovaya T.A., Gritsenko V.V., Glyantsev S.P., Davydenko V.V., Belevitin A.B., Svistov A.S., Evdokimov S.V., Nikiforov V.S. Domestic mechanical prostheses of heart valves (past and present of development and clinical application). Saint-Petersburg: Nauka Publ.; 2011. (In Russ.)]
- Casselman F.P., La Meir M., Jeanmart H., Mazzarro E., Coddens J., Van Praet F., Wellens F., Vermeulen Y., Vanermen H. Endoscopic mitral and tricuspid valve surgery after previous cardiac surgery. Circulation. 2007;116(11Suppl):I270-I275. PMID: 17846316. https://doi.org/10.1161/CIRCULATIONAHA.106.680314
- Иванов В.А., Гавриленко А.В., Мьйо С.Х., Евсеев Е.П., Айдамиров Я.А. Повторные операции на клапанах сердца (обзор литературы). Кардиология и сердечно-сосудистая хирургия. 2015;2:49-53. [Ivanov V.A., Gavrilenko A.V., M'yo S.Kh., Evseev E.P., Aydamirov Ya.A. Repeated heart valve surgery (review). Kardiologiya i Serdechno-Sosudistaya Khirurgiya = Russian Journal of Cardiology and Cardiovascular Surgery. 2015;2:49-53. (In Russ.)] https://doi.org/10.17116/kardio20158249-53
- Gao G., Wu Y., Grunkemeier G.L., Furnary A.P., Starr A. Forty-year survival with the Starr-Edwards heart valve prosthesis. J Heart Valve Dis. 2004;13(1):91-96. PMID: 14765846.
- Cannegieter S.C., Rosendaal F.R., Briët E. Thromboembolic and bleeding complications in patients with mechanical heart valve prostheses. Circulation. 1994;89(2):635-641. PMID: 8313552. https://doi.org/10.1161/01.CIR.89.2.635
- Tochii M., Takagi Y., Kaneko K., Ishida M., Akita K., Higuchi Y., Ando M. Excellent durability of Starr-Edwards ball valves implanted in the aortic and mitral positions for 27 years: report of a rare surgical case. Ann Thorac Cardiovasc Surg. 2013;19(1):76-78. PMID: 22785448. https://doi.org/10.5761/atcs.cr.11.01870
- Hatton G.E., Tanaka A., Estrera A.L. Ascending aortic aneurysm repair 44 years after Starr-Edwards caged-ball aortic valve replacement. Eur J Cardiothorac Surg. 2018;54(5):962-963. PMID: 29697781; PMCID: PMC7675331. https://doi.org/10.1093/ejcts/ezy161
- Gödje O.L., Fischlein T., Adelhard K., Nollert G., Klinner W., Reichart B. Thirty-year results of Starr-Edwards prostheses in the aortic and mitral position. Ann Thorac Surg. 1997;63(3):613-619. PMID: 9066373. https://doi.org/10.1016/s0003-4975(96)00945-9
- Tarzia V., Bottio T., Testolin L., Gerosa G. Extended (31 years) durability of a Starr-Edwards prosthesis in mitral position. Interact Cardiovasc Thorac Surg. 2007;6(4):570-571. PMID: 17669941. https://doi.org/10.1510/icvts.2006.146399
- Antończyk K., Paluszkiewicz L., Koertke H., Gummert J. Paraprosthetic leak closure 28 years after mitral caged-ball Starr-Edwards implantation. Interact Cardiovasc Thorac Surg. 2013;17(2):428-430. PMID: 23599186; PMCID: PMC3715180. https://doi.org/10.1093/icvts/ivt174
- Бабенко С.И., Муратов Р.М., Амирагов Р.И., Сачков А.С. Случай ушивания парапротезной фистулы и супракоронарного протезирования восходящей аорты через 27 лет после имплантации шарового протеза в аортальную позицию. Грудная и сердечно-сосудистая хирургия. 2012;4:48-50. [Babenko S.I., Muratov R.M., Amiragov R.I., Sachkov A.S. A case of paraprosthetic fistula closure and supracoronary replacement of the ascending aorta in 27 years after implantation of ball-valve mechanical prosthesis in aortic position. Grudnaya i Serdechno-Sosudistaya Hhirurgiya = Russian Journal of Thoracic and Cardiovascular Surgery. 2012;4:48-50. (In Russ.)]
- Piazza N., Gregoire J. Images in clinical medicines. Starr-Edwards heart valves. N Engl J Med. 2008;358(21):e24. PMID: 18499563. https://doi.org/10.1056/NEJMicm071210
- Amrane M., Soulat G., Carpentier A., Jouan J. Starr-Edwards aortic valve: 50+ years and still going strong: a case report. Eur Heart J Case Rep. 2017;1(2):ytx014. PMID: 31020072; PMCID: PMC6176978. https://doi.org/10.1093/ehjcr/ytx014
- Presbitero P., Aruta E., Rabajoli F., Agaccio G., Donegani E., Orzan F., Malara D., Di Summa M., Morea M. [Aortic dissection after aortic valve replacement: clinical and anatomic features]. G Ital Cardiol. 1992;22(8):941-947. PMID: 1478394. (In Ital.)
- Чарчян Э.Р., Белов Ю.В., Скворцов А.А., Хачатрян З.Р. Острое расслоение А-типа и гигантская аневризма восходящего отдела аорты через 32 года после протезирования аортального клапана шаровым протезом. Грудная и сердечно-сосудистая хирургия. 2015;57(5):41-45. [Charchyan E.R., Belov Yu.V., Skvortsov A.A., Khachatryan Z.R. Acute aortic dissection type a and giant ascending aortic aneurysm 32 years after aortic valve replacement using ball-cage valve prosthesis. Grudnaya i Serdechno-Sosudistaya Hhirurgiya = Russian Journal of Thoracic and Cardiovascular Surgery. 2015;57(5):41-45. (In Russ.)]
- Baumgartner H., Falk V., Bax J.J., De Bonis M., Hamm C., Holm P.J., Iung B., Lancellotti P., Lansac E., Rodriguez Muñoz D., Rosenhek R., Sjögren J., Tornos Mas P., Vahanian A., Walther T., Wendler O., Windecker S., Zamorano J.L., ESC Scientific Document Group. 2017 ESC/EACTS Guidelines for the management of valvular heart disease. Eur Heart J. 2017;38(36):2739-2791. PMID: 28886619. https://doi.org/10.1093/eurheartj/ehx391
